Breast Density: Why It Matters More Than You Think

breast-density-why-it-matters-more-than-you -think-cvrWhen it comes to mammograms, one size does not fit all. That is especially true for women with dense breast tissue, a common but often misunderstood factor that can impact both cancer risk and the accuracy of imaging. We asked Dr. Tchaiko Parris MD, PhD, Medical Director of Mammography & Breast Cancer Prevention at ImageONE to explain why breast density matters, what it means for cancer detection, and how imaging professionals can help ensure no detail is overlooked.

What Is Breast Density?

Breast density refers to the proportion of fibroglandular tissue, which is white, compared to fatty tissue, which is dark, in the breast. It can only be measured measured visually by the radiologist or via an automated computer software on a mammogram.  It cannot be measured during a clinical breast exam.

The American College of Radiology (ACR) classifies breast density into four categories

  • A - Almost entirely fatty
  • B - Scattered areas of fibroglandular density
  • C - Heterogeneously dense
  • D - Extremely dense

About 50 percent of women fall into categories C or D, meaning their breasts are considered dense.

"Breast density is more than a measurement," says Dr. Parris. "It affects how clearly we can see abnormalities within the breast and is also an independent risk factor for developing breast cancer.

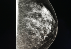
Why Dense Breast Tissue Makes Screening Harder

On a mammogram, both dense tissue and cancer appear white. This creates a masking black and white mammogram imageeffect, where tumors can be hidden within the fibroglandular tissue. Due to this, it is sometimes difficult to detect cancers which may delay early-stage diagnosis

"The denser the tissue, the harder it is to see what does not belong," Dr. Parris explains. "It’s like trying to find a snowball in a snowstorm."

Women with extremely dense breast tissue have an independent increased risk of up to 4X, being more likely to develop breast cancer compared to women who have non-dense tissue.  

What Should Women With Dense Breasts Do?

Since Sept 2024 it is a federal requirement that all women receive notification after their mammogram as to whether their breasts are “dense” or “not dense.” Patients that have dense breast tissue, may need supplemental screening depending on their personal risk factors.

Additional imaging options may include: 

  • Breast ultrasound
  • Breast MRI
  • Contrast-enhanced mammography

These tools can provide better visualization in dense tissue, helping detect cancers that mammograms might miss.

How Technologists Can Support Better Imaging in Dense Breasts

Positioning and compression are always important during mammography, but they are especially critical for women with dense tissue. Even small movements or poor tissue spread can reduce image clarity.

female technologist hands placing a bella blankets protective coverlet on the paddleBella Blankets® protective coverlets can be an important tool for enhancing image quality during mammography. By gently gripping the breast and creating a barrier between the skin and the detector plate, Bella Blankets improve tissue immobilization and reduces skin folds.

"With Bella Blankets, we are able to get better coverage and better detail, especially in women with dense breasts," Dr. Parris shares. "That helps the radiologist see more, and potentially find more."

The Importance of Personalizing Screening

Not every patient needs the same imaging plan. Risk level, family history, and breast density all play a role in determining the best screening approach.

"We should not take a one size fits all approach to mammography," Dr. Parris says. "Patients with dense breasts need to understand their options and feel empowered to ask about supplemental screening if appropriate."

Why Breast Density Deserves More Attention

Breast density is not just a line in a report, it is a critical factor that affects both a woman’s risk of breast cancer and how well a mammogram can detect it. With the right tools, additional screening, and strong patient education, we can overcome the challenges ofan older female patient looking at a mammogram image with her doctor dense tissue and improve early detection.

Technologists play a key role by using positioning strategies and tools like Bella Blankets to produce the clearest images possible. Radiologists can offer more personalized recommendations when density is taken seriously.

When patients, technologists, and providers all work together, breast density does not have to be a barrier, it can be an opportunity to deliver smarter, more individualized care.

If you would like to see how Bella Blankets may be able help your patients with dense breasts, email info@beekley.com for more information and a complimentary sample. 

   
Megan Sargalski

Megan Sargalski

Marketing Communications Specialist

Subscribe to BeekSpeak